Welcome to Discovery-Sci

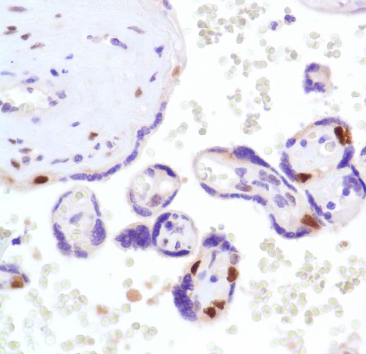
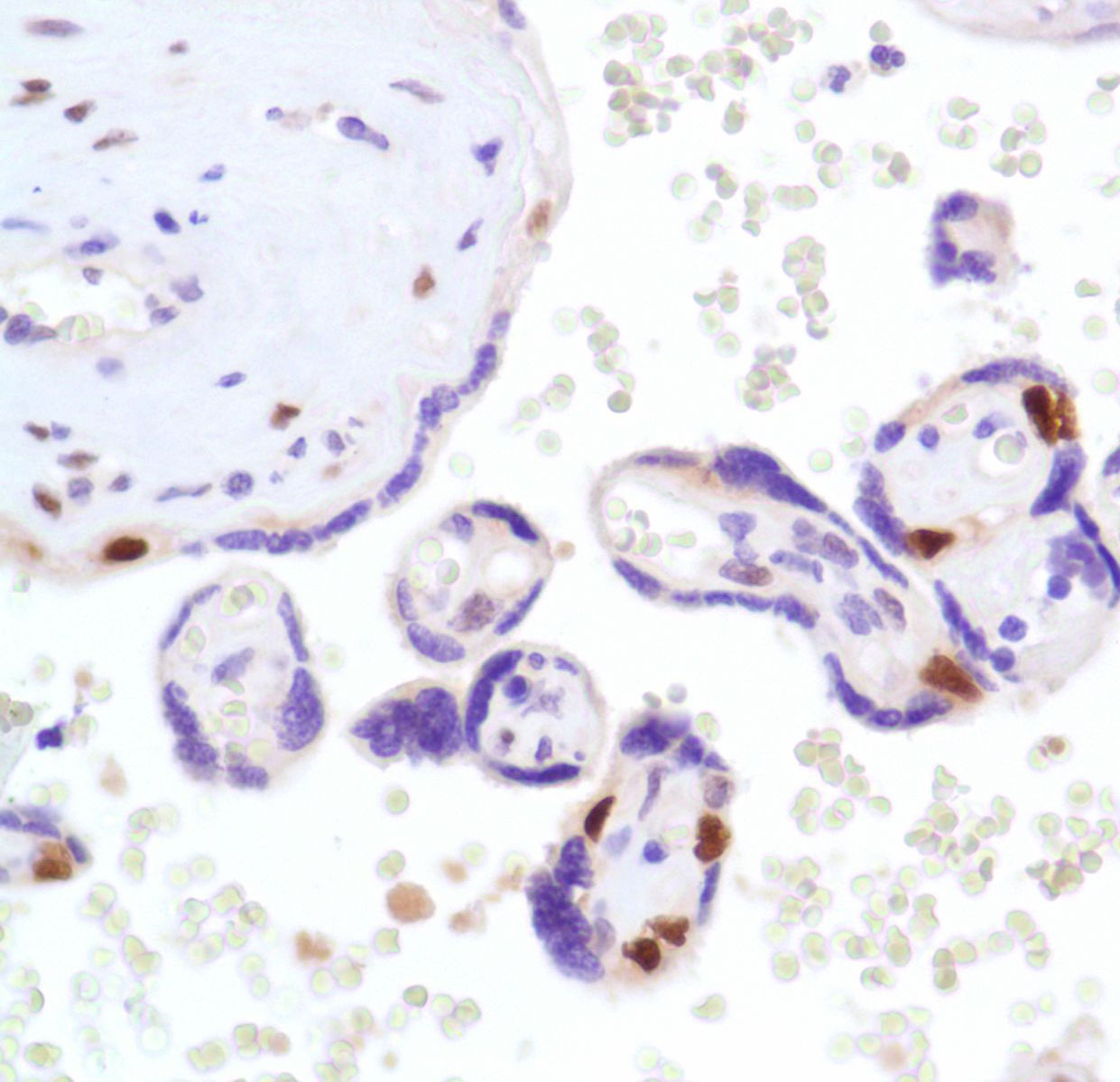
p57 (SP118)

 Cyclin-dependent kinase inhibitor 1C (CDKN 1C or p57/Kip2) is a nuclear protein and a potent inhibitor for several G1 cyclin/Cdk complexes. P57 inhibits cell proliferation and the mutation of p57 gene can lead to uncontrollable cell growth and malignancy such as hydatidiform mole. 

Related Files