Welcome to Discovery-Sci

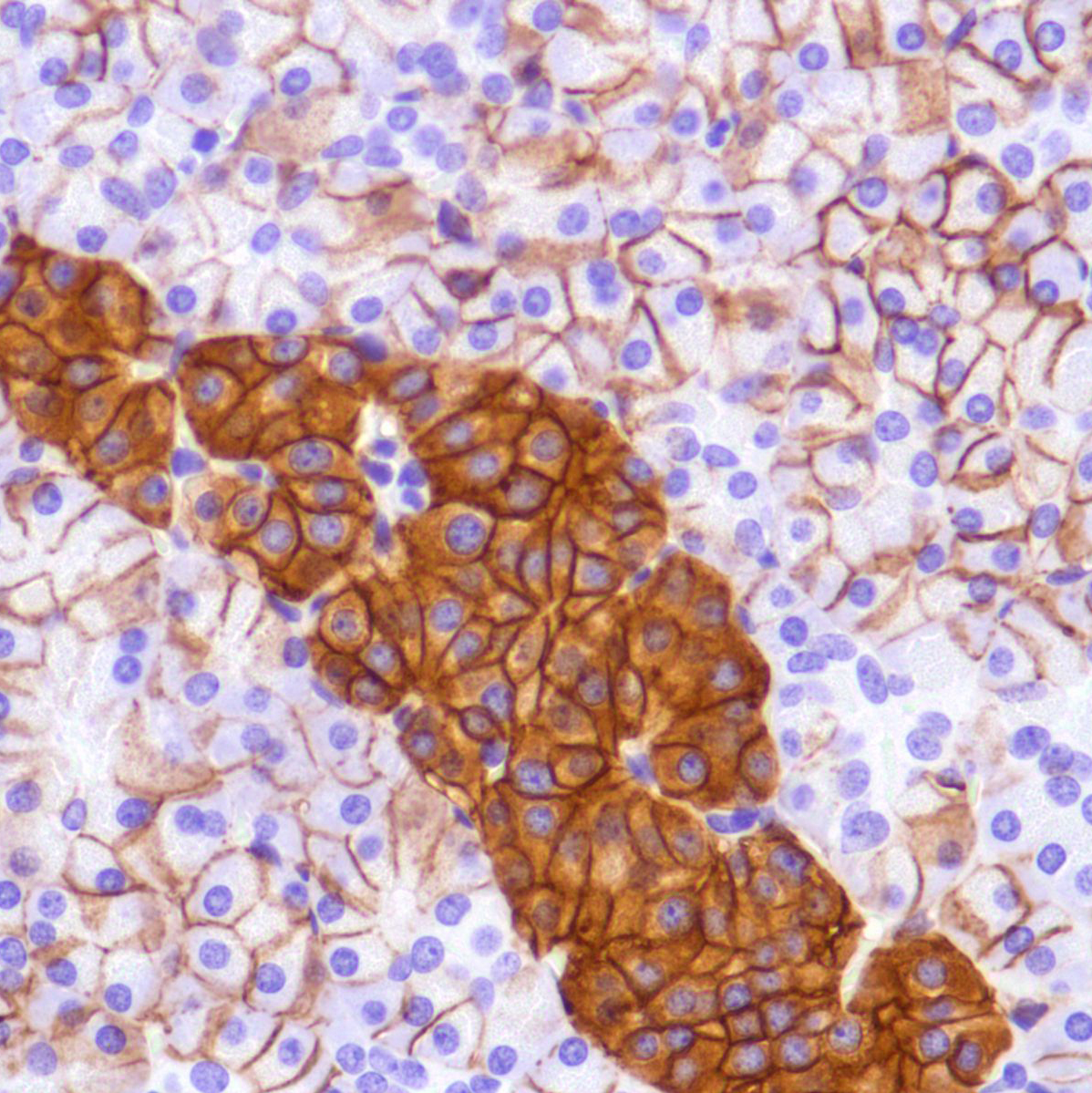
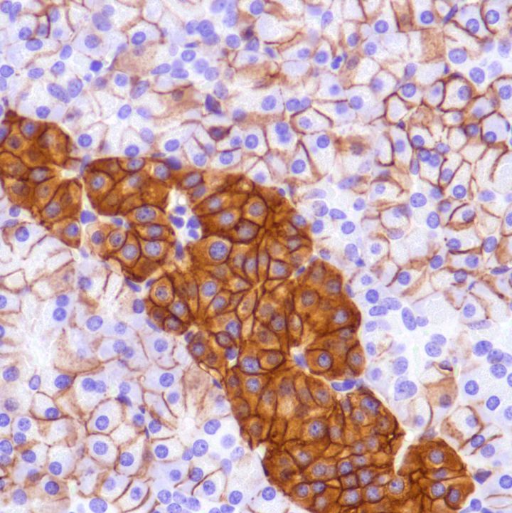
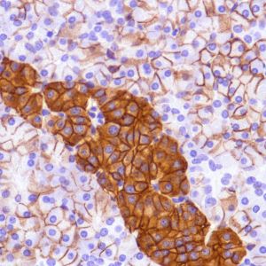
CD99 (SP119)

 CD99, or MIC2 gene product, or E2 antigen is expressed on the cell membrane of some lymphocytes, cortical thymocytes, and granulosa cells of the ovary. The antigen is also expressed by most pancreatic islet cells, Sertoli cells of the testis, and some endothelial cells. Mature granulocytes express very little or no CD99. MIC2 is strongly expressed on Ewing’s sarcoma cells and primitive peripheral neuroectodermal tumors. 

Related Files