Welcome to Discovery-Sci

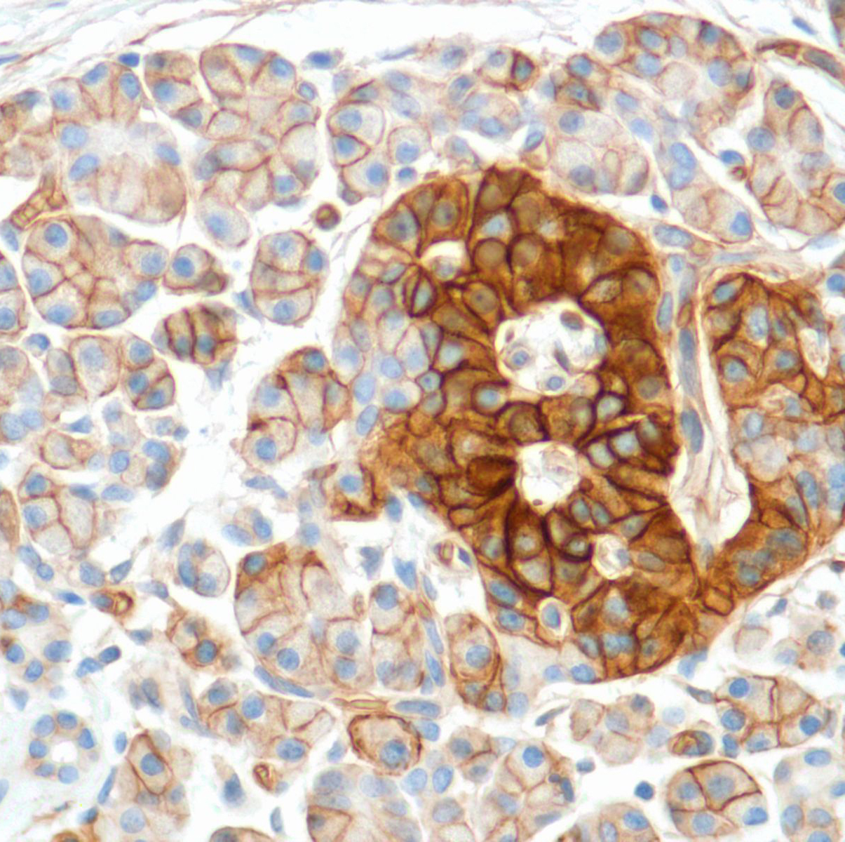
hENT1

 Human equilibrative nucleoside transporter 1 (hENT1) is a member of the equilibrative nucleoside transporter family. It is a transmembrane glycoprotein that localizes to the plasma and mitochondrial membranes and mediates the cellular uptake of nucleosides from the surrounding medium. The protein is sensitive to inhibition by nitrobenzylthioinosine (NBMPR). It is considered as a drug carrier. Nucleoside transporters such as hENT1 are required for nucleotide synthesis in cells that lack de novo nucleoside synthesis pathways, and are also necessary for the uptake of cytotoxic nucleosides used for cancer and viral chemotherapies.

Related Files