Welcome to Discovery-Sci

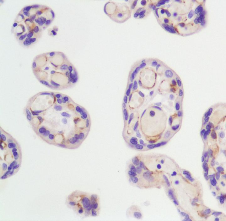
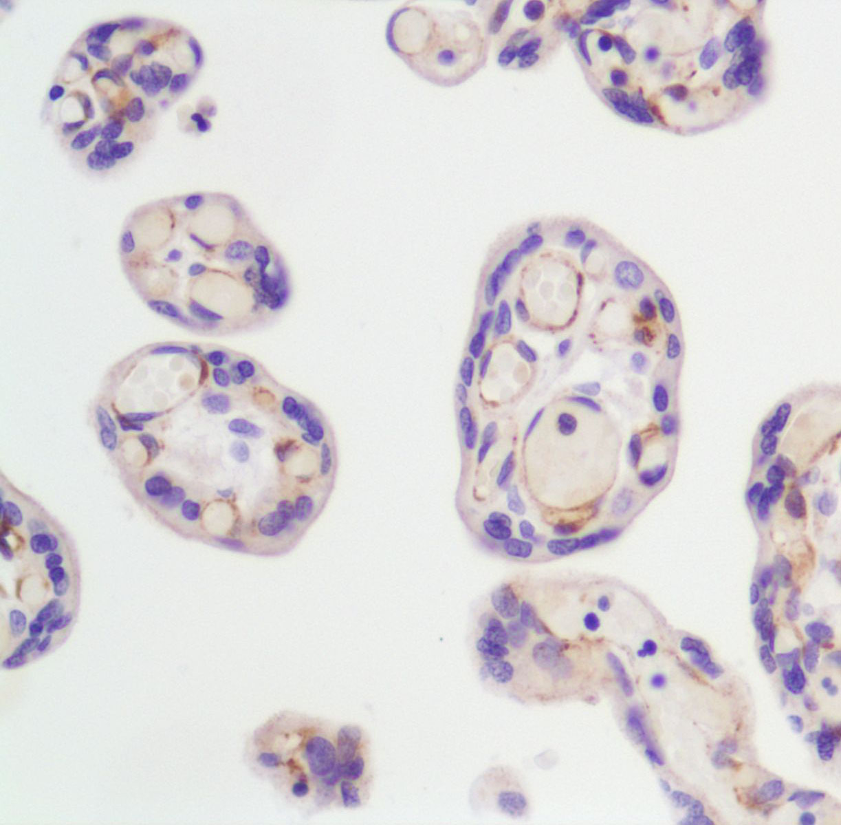
FLK-1 (mouse) (SP123)

 FLK-1/KDR/VEGFR2, a cell membrane receptor kinase, is a high affinity receptor for vascular endothelial growth factor and is putatively involved in the growth of endothelial cells and angiogenesis. It contains seven immunoglobulin-like sequences in the extracellular domain and exhibits sequence similarity to FLT-1 and FLT-4.

Related Files