Welcome to Discovery-Sci
[email protected]
My Account
Compare List
My Wishlist
Cart
My cart: (0)
Your shopping cart is empty.
HOME
LAB EQUIPMENT
ELISA READER
SONICATORS
Photometer
WATER BATHS
Autoclaves
Centrifuge
Heating Blocks
Homogenizers
Shakers
Vortex
Tissue Grinder
Cryogenic
Microscopes
Pipettes
PCR
Ultra Low Freezers
Gel Documentation
Balances
Hot Plate Stirrer
Incubators
ANATOMY PATHOLOGY
ANTIBODIES POLYCLONAL AND MONOCLONAL IHC-P
ANTIBODIES IHC-P
Immunohistochemistry ABC DETECTION SYSTEMS
Cryospray
Blades
Kits
FISH Probes
MOLECULAR BIOLOGY
RT-PCR Gene Mutation Diagnostics KITS
TAQ POLYMERASE
p PCR kits
Reagents
DNA RNA Isolation kits
ANTIBODIES
ELISA
DNA Ladders
CONSUMABLES
GENERAL
Tips
Racks
Tubes
Grids
HOME
LAB EQUIPMENT
ELISA READER
SONICATORS
Photometer
WATER BATHS
Autoclaves
Centrifuge
Heating Blocks
Homogenizers
Shakers
Vortex
Tissue Grinder
Cryogenic
Microscopes
Pipettes
PCR
Ultra Low Freezers
Gel Documentation
Balances
Hot Plate Stirrer
Incubators
ANATOMY PATHOLOGY
ANTIBODIES POLYCLONAL AND MONOCLONAL IHC-P
ANTIBODIES IHC-P
Immunohistochemistry ABC DETECTION SYSTEMS
Cryospray
Blades
Kits
FISH Probes
MOLECULAR BIOLOGY
RT-PCR Gene Mutation Diagnostics KITS
TAQ POLYMERASE
p PCR kits
Reagents
DNA RNA Isolation kits
ANTIBODIES
ELISA
DNA Ladders
CONSUMABLES
GENERAL
Tips
Racks
Tubes
Grids
Home
ANATOMY PATHOLOGY
ANTIBODIES IHC-P
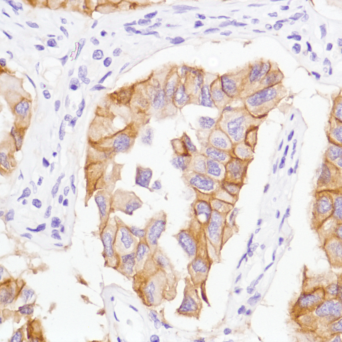
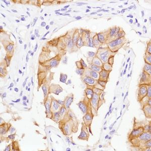
Epidermal Growth Factor Receptor (EGFR) (L858R) (SP125)
Epidermal Growth Factor Receptor (EGFR) (L858R) (SP125)
EGFR is a transmembrane tyrosine kinase of HER/erbB protein family. EGFR somatic mutations such as L858R in exon 21 and short in-frame deletion of E746-A750 in exon 19 are present in a subset of lung adenocarcinoma.
Related Files
292_EGFR (L858R).pdf
(48.2Kb)