Welcome to Discovery-Sci

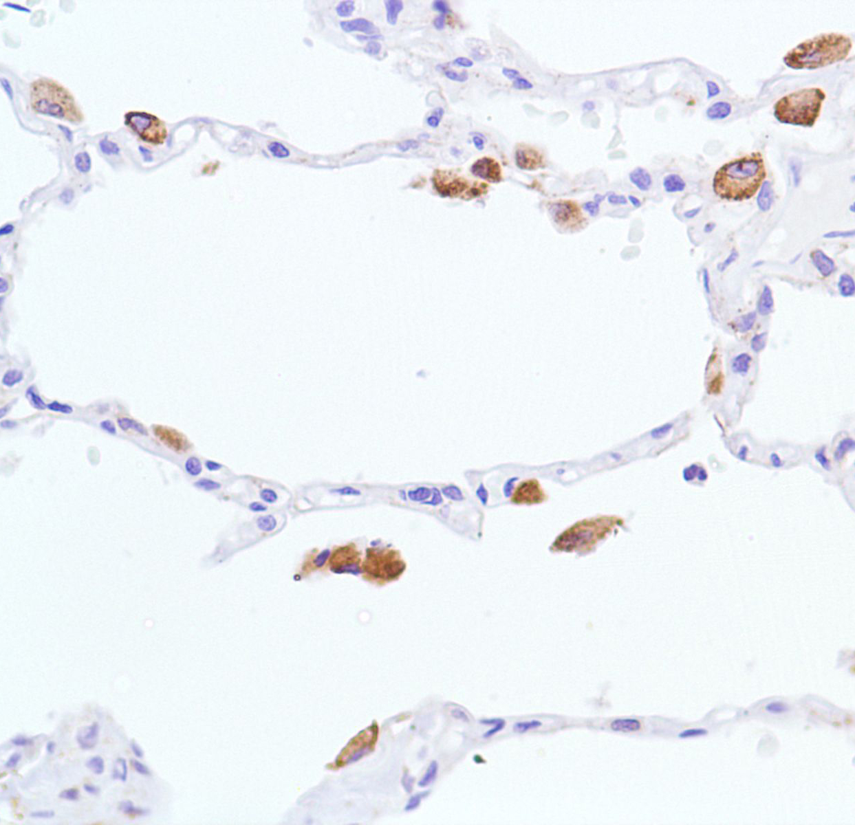
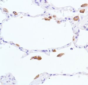
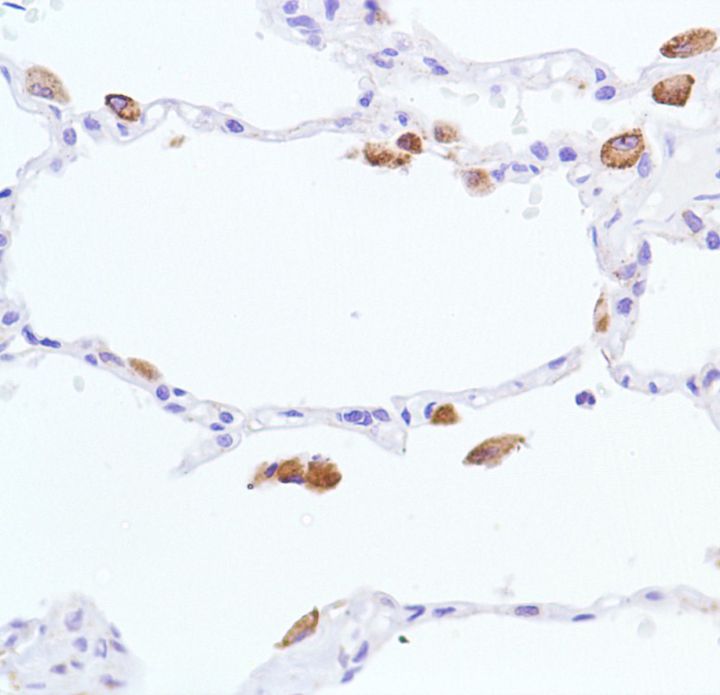
Nitric Oxide Synthase-Inducible (iNOS) (SP126)

 Inducible NOS (iNOS) or macrophage NOS (mNOS) is calcium/calmodulin independent and is expressed in activated macrophages and stimulated glial cells. NOS oxidizes a guanidine nitrogen of arginine, releasing nitric oxide in the form of a free radical and citrulline. Nitric oxide thus generated acts as a messenger in diverse functions including vasodilation, neurotransmission, anti-tumor and anti-pathogenic activities. 

Related Files