Welcome to Discovery-Sci

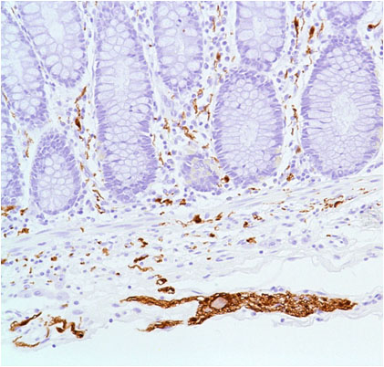
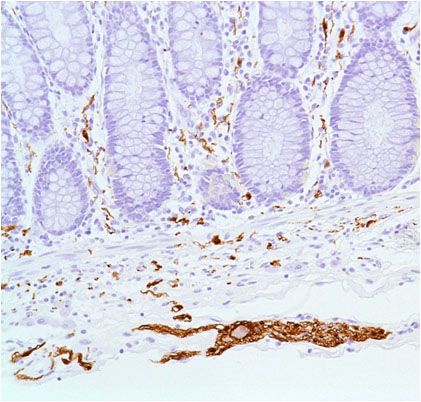
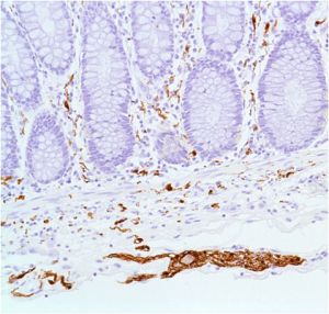
S100 Beta (SP127)

 S100 belongs to the family of calcium binding proteins such as calmodulin and troponin C. S100A is composed of an alpha and beta chain whereas S100B is composed of two beta chains. S100 is highly expressed in melanocyte, nerve cells, and their tumors. S100 protein is also expressed in the antigen presenting cells such as the Langerhans cells in skin and interdigitating reticulum cells in the paracortex of lymph nodes.

Related Files