Welcome to Discovery-Sci

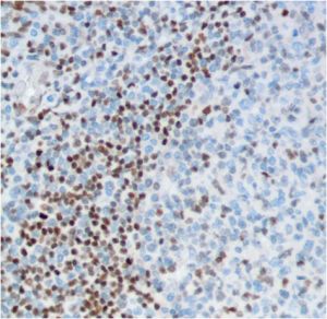
FOXP1 (SP133)

 Forkhead box protein P1 (FOXP1) is a transcriptional repressor that plays an important role in the development of the brain and lung in mammals. The gene encoding this protein may act as a tumor suppressor as it is lost in several tumor types and maps to a chromosomal region (3p14.1) reported to contain a tumor suppressor gene. It is essential transcriptional regulator of B cell development. PAX5/FOXP1 translocation t(9;3)(p13;p14.1) is found in acute lymphoblastic leukemia. FOXP1 is positive in subset of diffuse large B-cell lymphoma and mucosa-associated lymphoid tissue lymphomas.

Related Files