Welcome to Discovery-Sci

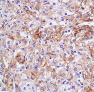
Fn14 (SP134)

 Fn14/Tweak receptor/CD266/TNFRSF12A, tumor necrosis factor receptor superfamily member 12A, is the receptor for Tweak, a member of the TNF family and was first described as a weak inducer of apoptosis in some cell types. It is thought to promote angiogenesis and the proliferation of endothelial cells as well as modulating cellular adhesion to matrix proteins. 

Related Files