Welcome to Discovery-Sci

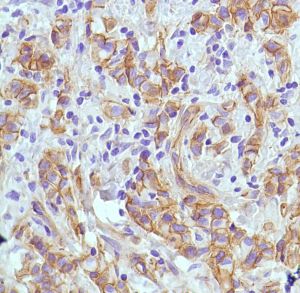
pI3KCA (SP139)

 Phosphatidylinositol-4, 5-bisphosphate 3-kinase catalytic subunit alpha isoform (PI3KCA) is encoded by the PIK3CA oncogene and catalyzes the production of phosphatidylinositol-3, 4, 5-triphosphate (PIP3). PIP3 activates downstream signaling components such as protein kinase AKT and promotes cell growth and survival. The PIK3CA oncogene is one of the two most frequently mutated oncogenes in human cancer. PI3KCA mutations are associated with colorectal cancer, breast cancer, ovarian cancer, endometrial carcinoma and hepatocellular carcinoma.

Related Files