Welcome to Discovery-Sci

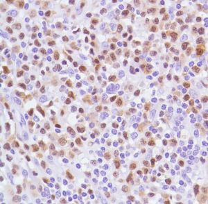
Anaplastic Lymphoma Kinase (ALK) (SP144)

Anaplastic lymphoma kinase is a receptor tyrosine kinase. Chromosomal translocations involving ALK have been found to be associated with different diseases such as anaplastic large cell lymphomas (ALCLs) and non small-cell lung cancer (NSCLC). The constitutively active fusion proteins are responsible for most of anaplastic large cell non-Hodgkin’s lymphomas. The EML4-ALK fusion gene is responsible for approximately 3-5% of NSCLC.

Related Files

317_ALK.pdf (142.0Kb)