Welcome to Discovery-Sci

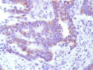
Cyclin E1 (SP146)

 G1/S-specific cyclin-E1 (Cyclin E) is a regulatory subunit of CDK2 during G1 phase and controls G1/S transition during the mammalian cell cycle. The Cyclin E/CDK2 complex phosphorylates p27Kip1 and truncated variant isoforms of cyclin E can phosphorylate histone H1 to initiate DNA synthesis. Multiple isoforms of cyclin E are identified in tumor tissues. 

Related Files