Welcome to Discovery-Sci

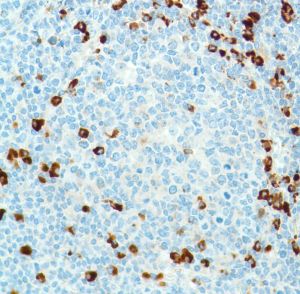
Kappa Light Chain (SP148)

 Kappa light chains are polypeptide chains resided in the cell membrane and cytoplasmic regions of normal B cells and plasma cells. The combination of kappa light chains and heavy chains forms immunoglobulin molecules. There are two classes of light chains found in immunoglobulins, kappa light chains and lambda light chains. Individual lymphoid cell only contains a single light chain class. This clonal restriction may be used to indicate the polyclonal or monoclonal nature of B cell and plasma cell populations.The ratio of kappa to lambda is about 2:1. The level of kappa or lambda can be greatly elevated in serum of patients with multiple myeloma or other B cell malignancies. 

Related Files