Welcome to Discovery-Sci

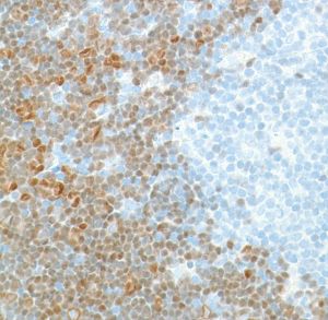
Terminal Deoxynucleotidyl Transferase (TdT) (SP150)

Terminal deoxynucleotidyl transferase (TdT), is a nuclear DNA polymerase responsible for the template-independent addition of N-nucleotides. It is expressed in normal hematopoietic cells, normal cortical thymocytes (immature, pre-B, pre-T lymphoid cells), and megakaryocytes of the bone marrow, as well as acute lymphoblastic leukemia/lymphoma cells

Related Files

329_TdT.pdf (59.6Kb)