Welcome to Discovery-Sci

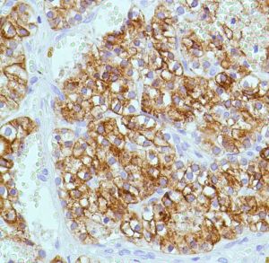
Parathyroid Hormone (PTH) (SP151)

 Parathyroid hormone (PTH) is secreted by parathyroid cells. PTH increases blood Ca2+ levels by dissolving the salts in bone and preventing their renal excretion. Most PTH is secreted in its intact, mature 9.5 kDa form, amino acids 1-84; however, it can also be secreted as N-terminal truncated fragments or C-terminal fragments after intracellular degradation, as in the case of hypercalcemia.

Related Files