Welcome to Discovery-Sci

Rabbit Anti-Human Estrogen Receptor (ER) Monoclonal Antibody (Clone SP1)

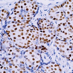
This antibody recognizes a protein of 67kDa, which is identified as estrogen receptor (ER). This antibody strongly stains the nucleus of epithelial cells in breast carcinomas. The ER is an important regulator of growth and differentiation in the mammary gland.

Related Files