Welcome to Discovery-Sci

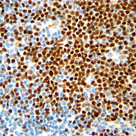
Cyclin D1 (SP4)

Cyclin D1 or PRAD-1 or bcl-1 is one of the key cell cycle regulators, and functions in association with cdk4 and / or cdk6 by phosphorylating the Rb protein. It is a putative proto-oncogene overexpressed in a wide variety of human neoplasms including mantle cell lymphomas (MCL).

Related Files