Welcome to Discovery-Sci

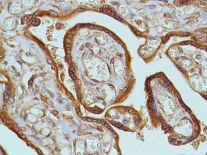
Epidermal Growth Factor Receptor (EGFR) (SP9)

EGFR is type I receptor tyrosine kinase with sequence homology to erbB-1, -2, -3, -4. It binds to Epidermal Growth Factor (EGF), Transforming Growth Factor-a (TGF-a), Heparin-binding EGF (HB-EGF), amphiregulin, betacellulin and epiregulin. EGFR is overexpressed in tumors of breast, brain, bladder, lung, gastric, head, neck, esophagus, cervix, vulva, ovary, and endometrium. It is predominantly present in squamous cell carcinomas.

Related Files