Welcome to Discovery-Sci

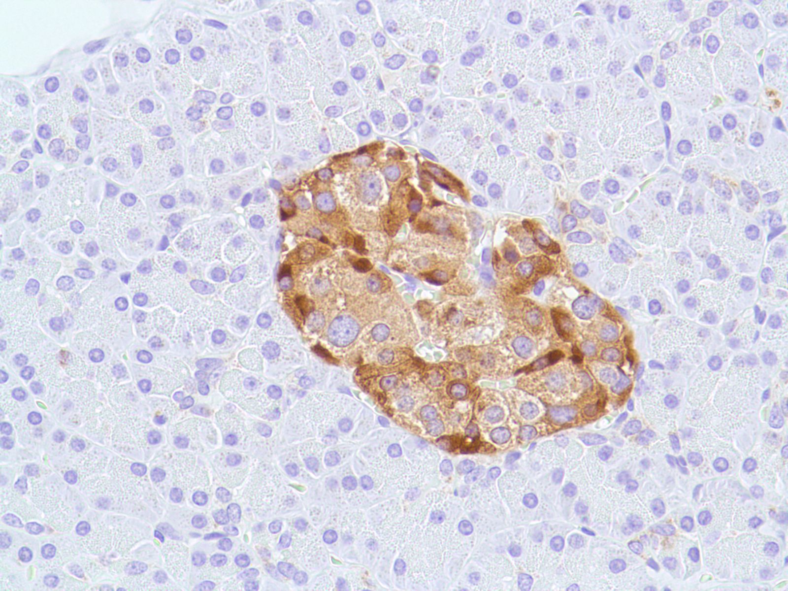
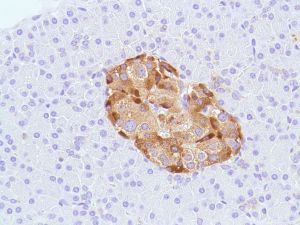
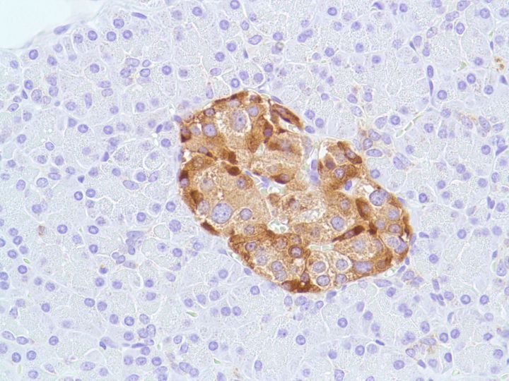
Chromogranin A (SP12)

Chromogranin A (a protein of 439 amino acid which is encoded on chromosome 14) is present in neuroendocrine cells throughout the body, including the neuroendocrine cells of the large and small intestine, adrenal medulla and pancreatic islets. It is an excellent marker for carcinoid tumors, phenochromocytomas, paragangliomas, and other neuroendocrine tumors. Coexpression of chromogranin A and neuron specific enolase (NSE) is common in neuroendocrine neoplasms.

Related Files