Welcome to Discovery-Sci

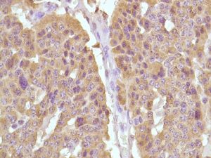
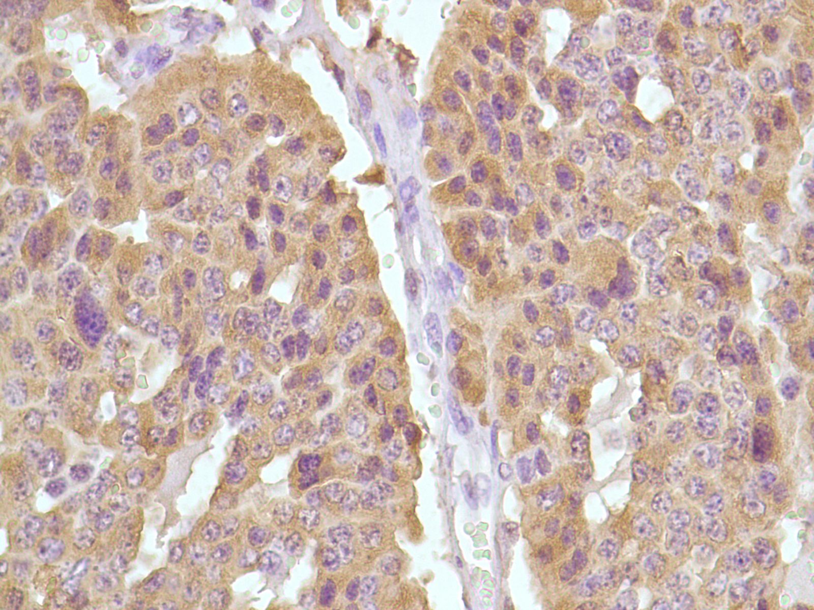
Calcitonin (SP17)

Calcitonin is a 32 amino acid peptide which can be demonstrated in C cells of the normal and hyperplastic thyroid. Staining for calcitonin may be used for the identification of a spectrum of C cell proliferative abnormalities ranging from C cell hyperplasia to invasive tumors. Staining for calcitonin in medullary carcinoma of the thyroid produces a fine granular pattern in the cytoplasm. Amyloid deposits within the tumor may also exhibit varying degrees of calcitonin activity. 

Related Files