Welcome to Discovery-Sci

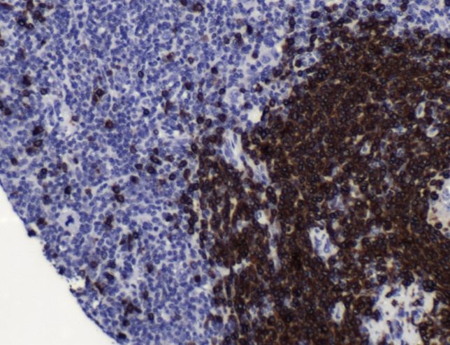
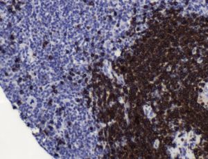
CD79a (SP18)

 A disulphide-linked heterodimer, consisting of CD79a/mb-1 and CD79b/B29 polypeptides, is non-covalently associated with membrane-bound immunoglobulins on B cells to constitute the B cell Ag receptor. CD79a first appears at pre B cell stage and persists until the plasma cell stage where it is found as an intracellular component. CD79a is found in the majority of acute leukemias of precursor B cell type, in B cell lines, B cell lymphomas, and in some myelomas.

Related Files