Welcome to Discovery-Sci

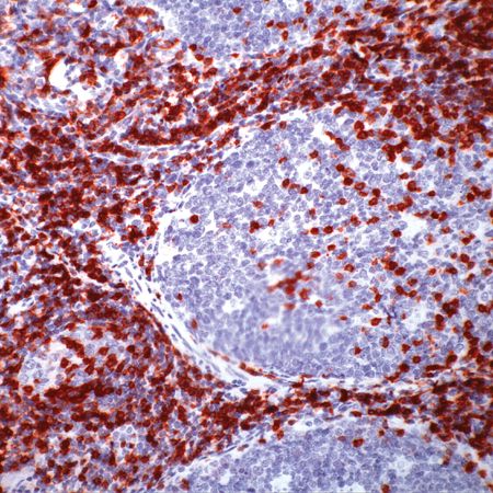
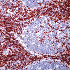
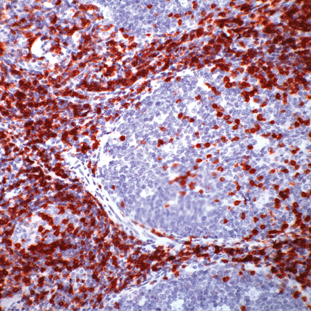
CD5 (SP19)

 The CD5, a transmembrane protein, is found on 95% of thymocytes and 72% of peripheral blood lymphocytes. In lymph nodes, the main reactivity is observed in T cell areas. CD5 is expressed by many T cell leukemia, lymphomas, and activated T cells. Occasionally, CD5 antigen is also expressed on a subset of B cells. Mantle cell lymphomas (same as diffuse centrocytic lymphomas) are CD5+ while the follicle center cell lymphoma are CD5-.

Related Files