Welcome to Discovery-Sci

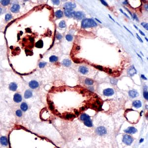
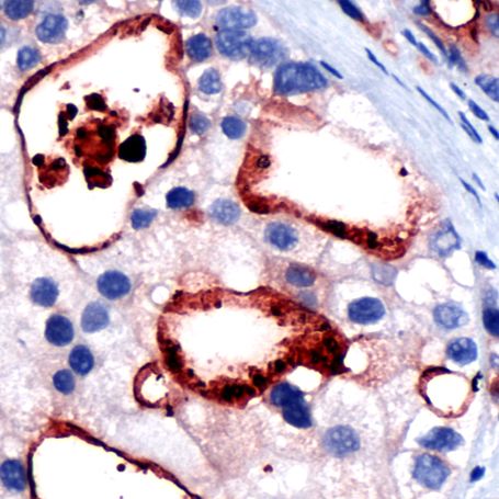
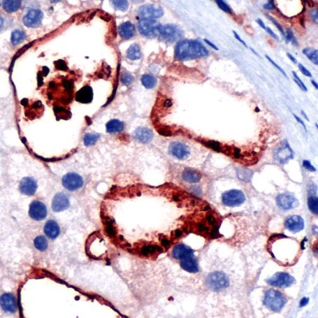
PSMA (SP29)

PMSA (FOLH1) is a type II transmembrane glycoprotein belonging to the M28 peptidase family. Three functionally distinct proteins are encoded, including folylpoly-gamma-glutamate carboxypeptidase in the intestine, N-acetylated alpha-linked acidic dipeptidase 1 in the brain, and prostate-specific membrane antigen in the prostate. A mutation in the intestinal form may be associated with impaired intestinal absorption of dietary folates, resulting in low blood folate levels and consequent hyperhomocysteinemia. The form expressed in the brain may be involved in a number of pathological conditions associated with glutamate excitotoxicity. The prostate form is up-regulated in cancerous cells and is used as an effective diagnostic and prognostic indicator of prostate cancer. This gene likely arose from a duplication event of a nearby chromosomal region. 

Related Files