Welcome to Discovery-Sci

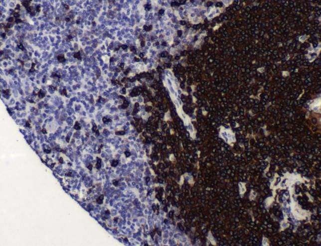
CD20 (SP32)

 CD20 is a 33kDa leukocyte surface antigen consisting of four transmembrane regions and cytoplasmic N- and C-termini. CD20 is expressed primarily on B cells but has also been detected on both normal and neoplastic T cells. Activation of CD20 significantly increases DNA synthesis and is thought to involve basic helix-loop-helix leucine zipper transcription factors.

Related Files