Welcome to Discovery-Sci

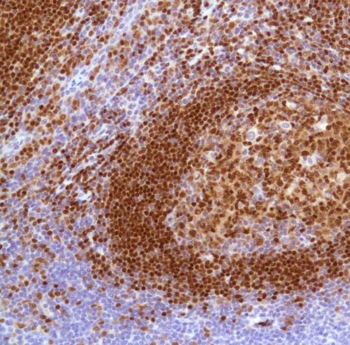
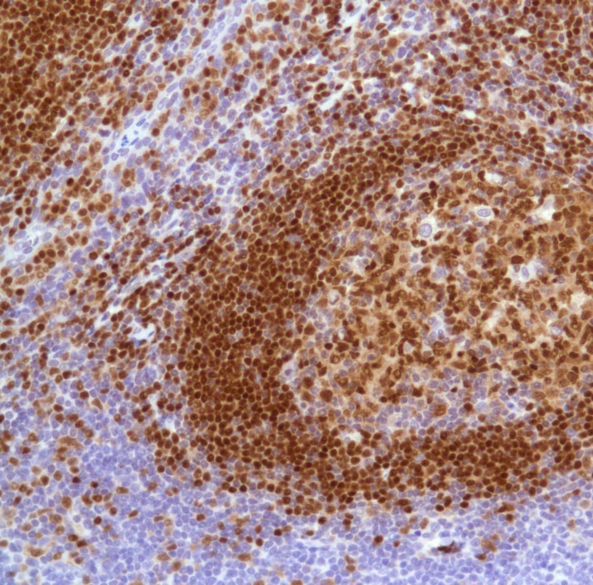
PAX-5 (SP34)

 PAX-5 is a B cell specificactivator protein (BSAP). In the early stages of B cell developmemt, PAX-5 influences the expression of several B-cell-specific genes, such as CD19 and CD20. PAX-5 is expressed primarily inpro-, pre-, and mature B cells, but not in plasma cells. Interestingly, PAX-5 mRNA is transiently detected in the mesencephalon and spinal cord during embryogenesis. Expression then shifts to the fetal liver and correlates with the onset of B lymphopoiesis. This indicates that PAX-5 is important in B cell development, but may also have a role in proper neuronal development.

Related Files