Welcome to Discovery-Sci

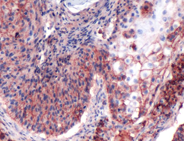
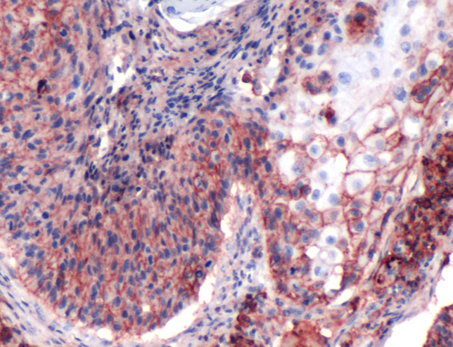
CD44 Std (SP37)

CD44 is a cell surface glycoprotein expressed on lymphocytes, monocytes, and granulocytes. CD44 is also known as homing cell adhesion molecule (H-CAM), Phagocytic glycoprotein-1 (PgP-1), ECM-III, HUTCH-1, or Hermes-1. CD44 has been implicated in cell migration, in lymphocyte homing, and in tumor metastasis. 

Related Files