Welcome to Discovery-Sci

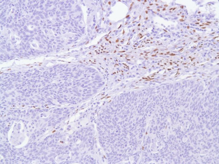
Progesterone Receptor (PR) (SP42)

 The progesterone receptor (PgR) is an estrogen-regulated protein. It has been proposed that expression of PgR determination indicates a responsive estrogen receptor (ER) pathway. A number of studies have shown that PgR determination provides supplementary information to ER.

Related Files