Welcome to Discovery-Sci

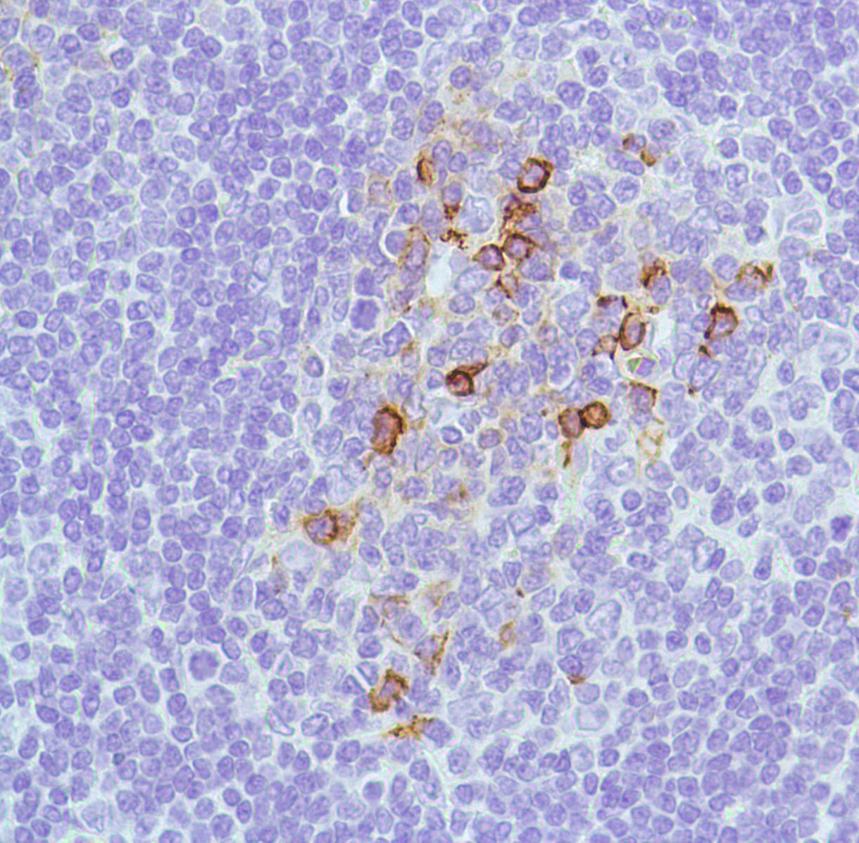
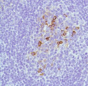
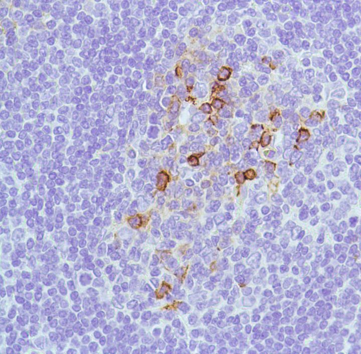
CD138 (SP152)

CD138 / Syndecan-1, is a transmembrane, heparin sulphate proteoglycan which is made up of one core protein and five glycosaminoglycans. CD138 is expected to play a role in cell adhesion, cell proliferation, cell migration and cell-matrix interactions via its receptor for extracellular matrix proteins. It is expressed on the surface of pre-B cells and plasma cells but is absent from mature B cells. It is lost from the apoptotic myeloma cells.

Related Files