Welcome to Discovery-Sci
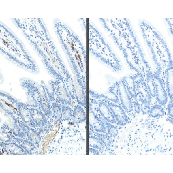
HRP Kit (Peroxidase, Goat IgG ) Catalog Number: PK-4005 Unit Size: 1 kit
HRP Kit Peroxidase, Goat IgG Catalog Number PK-4005 Unit Size 1 kit.jpg

VECTASTAIN ABC HRP Kit (Peroxidase, Goat IgG ) Catalog Number: PK-4005 Unit Size: 1 kit

Features:
  • Orignial avidin/biotin ABC complex formation
  • Good sensitivity/Low background
  • Low cost
  • Available without ("Standard") or with biotinylated species-specific secondary antibody
Kit Contents:
  • 2 ml Reagent A
  • 2 ml Reagent B
  • 1 ml biotinylated rabbit anti-goat IgG
  • 3 ml normal rabbit serum
Kit contains sufficient reagents to stain approximately 1000-2000 sections.
Catalog Number PK-4005
Unit Size 1 kit
Country of Manufacture United States
Applications Immunohistochemistry / Immunocytochemistry, Blotting Applications, Elispot, ELISAs
Technology ABC (Avidin/Biotin) Systems
Detection Enzyme Peroxidase
Target Species Goat
Format Concentrate

Related Files