Welcome to Discovery-Sci

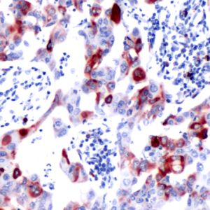
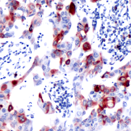
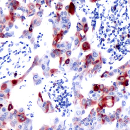
S6 Ribosomal (Phospho S240/244) (SP45)

 40S ribosomal protein S6 (also known as RPS6) is a ~31 kDa substrate of p70 S6 kinase (p70S6K) and a major component of translational machinery involved in protein synthesis, cell growth, proliferation, and metabolism. RPS6 undergoes phosphorylation on multiple serines in the carboxyl terminal region in the order 236-->235-->240-->244-->247, due to the positions of these amino acid residues on the alpha-helix. Hyperphosphorylation of RPS6 stimulates protein synthesis that mediates progression through the cell cycle. 

Related Files