Welcome to Discovery-Sci

Anti - MART - 1 (Melan - A) antibody is intended for in vitro diagnostic use. MART1 AIB-30129 IHC

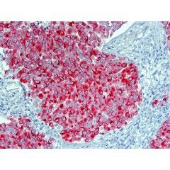
MART1 Article No: AIB-30129 Type: Antibodies, Primary Research area: Cell Biology Application: IHC Format: concentrate Clone: M2-7C10 Description: Anti-MART-1 (Melan-A),
CE certified (IVD)
Isotype: IgG2b k Alias names: Melanoma antigen recognized by T-cells 1, MLANA, MART 1, Melan A Immunogen:
Recombinant protein according to the human Melanosom Specificity: Melanosome Incubation Time: 60 min Substrate/Buffer: Mouse monoclonal antibody from cell culture supernatant in PBS with carrier protein and preservative for stabilisation. Technical Specifications: This antibody is designed for the specific localisation of the melanocytic differentiation antigen (MART-1 or Melan A) in formalin-fixed, paraffin-embedded tissue sections. Pre-treatment: Heat Induced Epitope Retrieval in Citrate Buffer pH 6.0- Control tissue: Melanoma Protocol: IHC: 1:100-1:100

Related Files