Welcome to Discovery-Sci
[email protected]
My Account
Compare List
My Wishlist
Cart
My cart: (0)
Your shopping cart is empty.
HOME
LAB EQUIPMENT
ELISA READER
SONICATORS
Photometer
WATER BATHS
Autoclaves
Centrifuge
Heating Blocks
Homogenizers
Shakers
Vortex
Tissue Grinder
Cryogenic
Microscopes
Pipettes
PCR
Ultra Low Freezers
Gel Documentation
Balances
Hot Plate Stirrer
Incubators
ANATOMY PATHOLOGY
ANTIBODIES POLYCLONAL AND MONOCLONAL IHC-P
ANTIBODIES IHC-P
Immunohistochemistry ABC DETECTION SYSTEMS
Cryospray
Blades
Kits
FISH Probes
MOLECULAR BIOLOGY
RT-PCR Gene Mutation Diagnostics KITS
TAQ POLYMERASE
p PCR kits
Reagents
DNA RNA Isolation kits
ANTIBODIES
ELISA
DNA Ladders
CONSUMABLES
GENERAL
Tips
Racks
Tubes
Grids
HOME
LAB EQUIPMENT
ELISA READER
SONICATORS
Photometer
WATER BATHS
Autoclaves
Centrifuge
Heating Blocks
Homogenizers
Shakers
Vortex
Tissue Grinder
Cryogenic
Microscopes
Pipettes
PCR
Ultra Low Freezers
Gel Documentation
Balances
Hot Plate Stirrer
Incubators
ANATOMY PATHOLOGY
ANTIBODIES POLYCLONAL AND MONOCLONAL IHC-P
ANTIBODIES IHC-P
Immunohistochemistry ABC DETECTION SYSTEMS
Cryospray
Blades
Kits
FISH Probes
MOLECULAR BIOLOGY
RT-PCR Gene Mutation Diagnostics KITS
TAQ POLYMERASE
p PCR kits
Reagents
DNA RNA Isolation kits
ANTIBODIES
ELISA
DNA Ladders
CONSUMABLES
GENERAL
Tips
Racks
Tubes
Grids
Home
ANATOMY PATHOLOGY
ANTIBODIES IHC-P
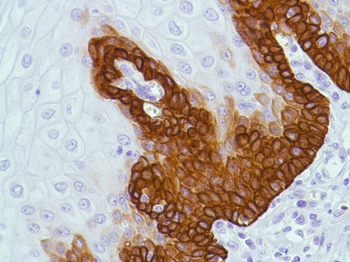
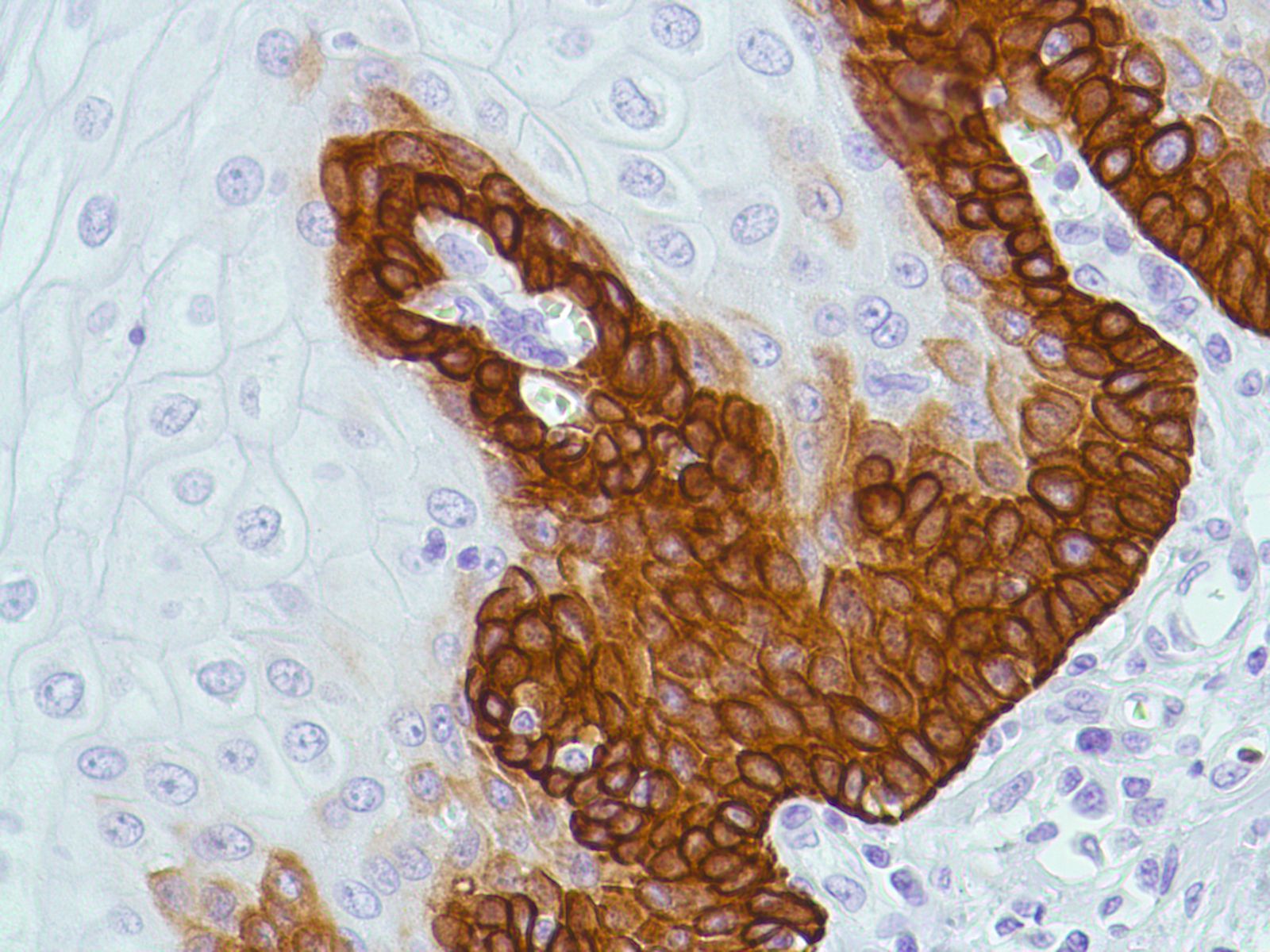
BAX (SP47)
BAX (SP47)
BAX is a member of the BCL-2 family of proteins, which function as regulators of apoptosis. Overexpression of BAX functions to promote cell death. BAX can form homodimers and is also able to heterodimerize with other BCL-2 related proteins.
Related Files
148_Rabbit Anti-Human Bax Monoclonal Antibody (Clone SP47).pdf
(53.6Kb)