Welcome to Discovery-Sci

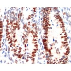
MSH - 6 (Clone EP49) Rabbit Monoclonal Antibody IVD MSH6 AZC-275 IHC

Description: Anti-MSH6, rabbit monoclonal,
CE certified (IVD)
Isotype: IgG Immunogen: Synthetic peptide corresponding to Human MSH6 aa 1-100 (N terminal) Substrate/Buffer: Purified antibody from culture supernatant with 0.2% BSA and 15mM sodium azide. Protocol: Use formalin-fixed and paraffin-embedded sections. Retrieval conditions: Pretreatment ofdeperaffinized tissue with heat-induced epitope retrieval is recommended. Detection methods: Polymer antimouse/rabbit IgG detection system. Working dilution: 1:50-100 Positive Control: Colon carcinoma. Cellular Localization: Nuclear. Intended Use: In vitro diagnosis (IVD). Notes: MSH6 is a heterodimer of MSH2 and binds to DNA containing G/T mismatches. The MSH2-MSH6complex recognizes a single-based mispair insertion/deletion loop. An alteration of microsatellite repeats is the result of slippage owing to strand misalignment during DNA replication and is referred to as microsatellite instability (MSI). These defects in DNA repair pathways have been related human carcinogenesis. Studies have shown the mutations of MLH-1, MSH2 and MSH6 genes contribute to the development of sporadic colorectal carcinoma. The repair of mismatch DNA is essential to maintaining the integrity of genetic information over time. This antibody cross reacts with mouse, rat and dog.

Related Files