Welcome to Discovery-Sci

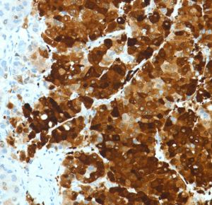
Arginase-1 (SP156)

Arginase-1 (ARG1) catalyzes the hydrolysis of L-arginine into ornithine and urea, a critical step for the urea cycle. Defects in ARG1 are the cause of argininemia, an autosomal recessive disorder characterized by hyperammonemia. There are several isoforms of mammalian arginase. The type I isoform, is a cytosolic enzyme and expressed predominantly in the liver as a component of the urea cycle. Hepatocellular carcinoma usually shows higher protein expression of ARG1 than normal liver cells.

Related Files