Welcome to Discovery-Sci

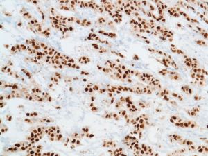
Progesterone Receptor Rabbit Anti-Human Monoclonal Antibody (Clone SP2)

The progesterone receptor (PgR) is an estrogen-regulated protein. It has been proposed that expression of PgR determination indicates a responsive estrogen receptor (ER) pathway. A number of studies have shown that PgR determination provides supplementary information to ER

Related Files